-
服务热线
- 19898895478
TEL:19898895478
中洋鉴定业务服务行业
半薄切片
半薄切片是使用超薄切片机将树脂包埋的样本进行切片,切片厚度一般为1.5μm左右,用防脱玻片进行捞片。主要应用为组织显微结构观察,超薄切片定位。半薄切片常用甲苯胺蓝或者亚甲基蓝染色,恒温箱烤干,中性树胶封片,光学显微镜观察组织显微结构。
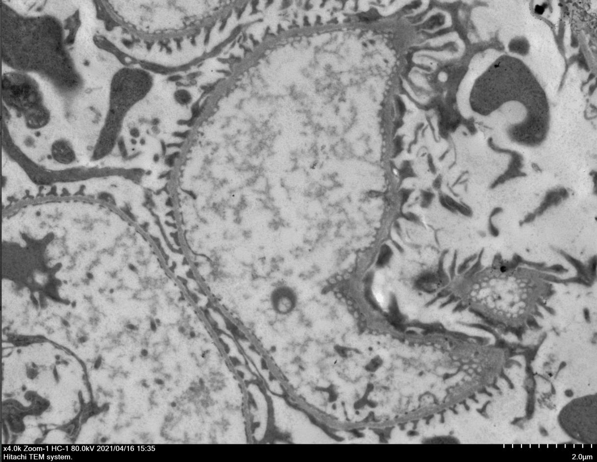
透射电镜全套
透射电镜(TEM),全称透射电子显微镜,是把经加速和聚集的电子束透射到非常薄的样品上,电子与样品中的原子碰撞而改变方向,从而产生立体角散射。散射角的大小与样品的密度、厚度相关,因此可以形成明暗不同的影像,影像将在放大、聚焦后在成像器件上显示出来。是一种高分辨率(0.1nm-0.2nm)、高放大倍数(几千-几十万倍)的显微镜。是观察和研究物质超微结构的重要工具。
中洋检测透射电镜平台主要设备:透射电镜日立HT7800120kv 超薄切片机型号:Leica EM UC7 玻璃制刀机:Leica EM KMR3
关于我们
-
中洋实验室拥有一支高水平的检测、试验、分析、研发队伍、以国家、行业、地方和企业的技术规范或标准为依据,以先进的检测设备和检测技术手段为基础的第三方检测与分析的新型实验室,确保检测、鉴定、评估结果的客观、准确、公正。中洋实验室面积达1000余平方米,各类检测鉴定分析仪器总投入超五千万元,精密科学仪器皆为海外采购,拥有材料(金属、非金属)分析实验室、红外光谱分析室、透射电镜实验室、扫描电镜实验室、SAM声扫实验室,X-Ray实验室,气相色谱质谱实验室,电子电器分析实验室、金相分析实验室、电气设备测试实验室、力学性能检测实验室等多个分析检测实验室。



